Leadless Pacemaker Specialist
in Kolkata

Home / Device Procedures / Leadless Pacemaker
Leadless Pacemaker

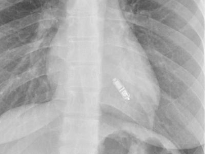
Leadless Pacemaker (Micra / Aveir)

A leadless pacemaker like Micra or Aveir is a tiny, self-contained device placed directly inside the heart to treat slow heart rhythms. It works without wires or a surgical pocket, lowering infection risks and recovery time. This modern design offers steady pacing, better comfort, and a simpler, safer experience for patients. You may opt for this treatment when-
Leadless Pacemaker
You have a high infection risk
Your veins cannot support wires
Regular pacemakers won’t work safely
You want faster healing time
You prefer a wire-free option
Your heart needs single-chamber pacing

Renowned Electrophysiologist

Dr. Debabrata Bera

MBBS, MD, DM, DNB, PDF (EP). Associate editor, Indian Pacing and Electrophysiology Journal.

+91 8420462109 (Secretary Mr. Satinath)
appointment.dr.bera@gmail.com
Premises No: 1489, 124, Eastern Metropolitan Bypass
Mukundapur Market, Stadium Colony, Mukundapur
Kolkata, West Bengal 700099

Benefits of Getting a Leadless Pacemaker

You can consult Dr. Debabrata Bera, a reputed electrophysiologist, to explore whether a leadless pacemaker is right for you. Its benefits include the following.
Smaller device with minimal discomfort
Reduces long-term complications
Designed for long-lasting heart support
Less follow-up care often needed

Patients Also Ask

Clear answers to the questions patients commonly ask about heart rhythm care.
How does a leadless pacemaker work?
A leadless pacemaker device works without wires and helps treat slow heart rhythms, making it a modern wireless pacemaker for bradycardia.
How is leadless pacemaker implantation done?
The leadless pacemaker procedure is performed through a small vein in the leg. The device is guided into the heart and placed securely inside, avoiding chest cuts or wire placements.
What are the main leadless pacemaker benefits compared to regular pacemakers?
When considering leadless pacemaker vs regular pacemaker, the leadless option offers fewer complications, faster healing, and a more comfortable experience for many patients.
What is the usual leadless pacemaker cost and what affects it?
The leadless pacemaker cost varies based on hospital, device choice, and overall treatment needs. Devices like the Micra pacemaker implant or other mini pacemaker implant options may differ in pricing.
Who is suitable for a leadless pacemaker?
A person needing single-chamber pacing, facing high infection risk, or unable to use wires may benefit from a leadless pacemaker device through leadless pacemaker implantation.